Homem é atingido por flecha e tem pulmões perfurados em Salvador 

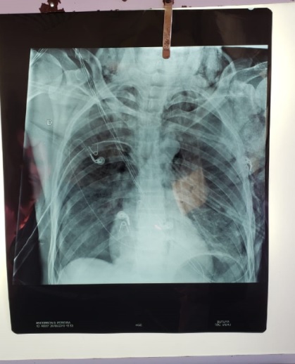
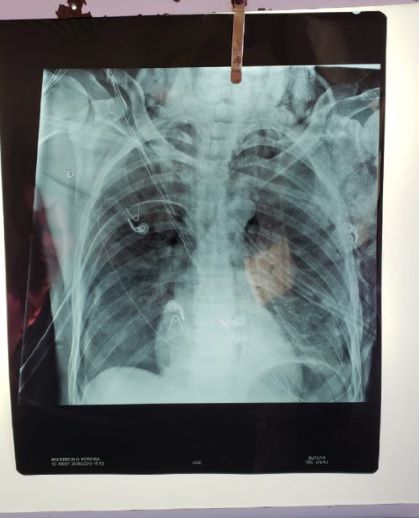
Um homem de 41 anos foi atingido por flecha, na tarde desta quinta-feira (26), e teve os dois pulmões perfurados no bairro da Federação, em Salvador. Segundo o jornal Correio, a vítima identificada como Anderson Cleiton Batista Pereira chegou ao Hospital Geral do Estado (HGE) inconsciente, com o objeto atravessado no corpo. 

De acordo com o boletim de ocorrência da unidade de saúde, a esposa de Anderson, que não teve o nome divulgado, não soube explicar a autoria e motivação do atentado. A mulher disse apenas que o crime aconteceu pouco depois das 15h, em via pública, próximo ao Colégio Gurilândia, na Avenida Cardeal da Silva.

A cirurgia para a retirada do objeto durou quase 10 horas, sendo concluída apenas no início da madrugada desta sexta-feira (27), quando ele foi encaminhado para a Unidade de Terapia Intensiva (UTI), onde permanece internado em estado considerado grave.

Com informações do Correio 24h

Atenção: os artigos deste portal não são de nossa autoria e responsabilidade.
Nós não produzimos e nem escrevemos esse artigo qual você esta lendo.

Entenda: nosso site utiliza uma tecnologia de indexação, assim como o 'Google News', incorporando de forma automática as notícias de Jacobina e Região.
Nossa proposta é preservar a história de Jacobina através da preservação dos artigos/relatos/histórias produzidas na internet. Também utilizamos a nossa plataforma para combater a desinformação nas redes (FakeNews).

Confira a postagem original deste artigo em: https://www.augustourgente.com.br/

Em conformidade com às disposições da Lei Geral de Proteção de Dados Pessoais (Lei nº 13.709/2018) e às demais normas vigentes aplicáveis, respeitando os princípios legais, nosso site não armazena dados pessoais, somente utilizamos cookies para fornecer uma melhor experiência de navegação.