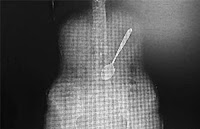
Uma mulher engoliu, sem querer, uma colher de 15 centímetros de comprimento ao comer macarrão instantâneo. Ela precisou ser levada para um hospital em Yangzhou, província de Jiangsu, na China, para extrair o objeto. Os médicos tentaram retirar a colher usando um instrumento médico longo para ‘pescá-lo’ a partir de seu estômago. Em casos semelhantes, o procedimento foi feito em apenas alguns minutos, mas, desta vez, os médicos tiveram dificuldade, devido ao posicionamento do utensílio. Felizmente, após duas horas, eles conseguiram retirar com cuidado a colher de seu estômago, sem qualquer dano interno. A mulher disse que a colher escorregou por sua garganta enquanto ela tentava, aparentemente, sugar uma porção de macarrão, que havia preparado para seu almoço. A equipe do hospital pareceu não acreditar na história da ingestão acidental da colher, acreditando que ela seria muito grande para ter passado por sua garganta. Quando questionada, Wang se recusou a entrar em detalhes sobre como exatamente a colher foi parar lá. (IBahia)

