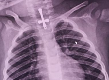
Um garoto de 2 anos segue internado depois de fazer uma intervenção médica para retirar um crucifixo que ele engoliu no último sábado (17), em Divinópolis (MG). O objeto obstruiu o sistema digestório do garoto, que foi inicialmente hospitalizado na Unidade de Pronto Atendimento (UPA) em Divinópolis.
No local, ele aguardou por uma transferência para uma unidade de alta complexidade no município de Passos, o que ocorreu na segunda-feira (19), de acordo com o G1.
A família contou que viveu momentos de angústia enquanto esperava pela transferência do garoto. A Prefeitura informou ao G1 nesta quinta-feira (22) que a demora para a realização da transferência ocorreu pela falta de disponibilidade de leitos no estado.
Assim que a vaga foi disponibilizada, o menino foi levado para uma unidade hospitalar no município de Passos, no Sul de Minas, onde o objeto foi retirado.
Por conta do tempo de permanência do objeto no organismo da criança, ele apresentou febre em decorrência de uma infecção após a retirada do crucifixo. O garoto segue recebendo tratamento medicamentoso até ter alta; ainda não há previsão de liberação da criança.
Informações do G1
